Skip to main content
TOPICS
Videos
Podcasts
Provider
Payer
Pharma
Consumer
Investor
RESOURCES
Events
Jobs
Learning Center
Webinars
White Papers
REGIONS
ANZ
ASIA
EMEA
Global Edition
MORE
About
Advertise
Contact
Privacy Policy
ANZ
ASIA
EMEA
Global Edition
Paige Prostate
Paige receives FDA De Novo clearance for AI to detect prostate cancer
By
Mallory Hackett
|
12:51 pm |
September 22, 2021
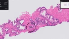
Paige Prostate analyzes digitized biopsy slides and identifies areas that could be cancerous for the pathologist to review further.